第27回「口腔内の変化」
公開日:2024/07/11

口腔ケアをするとき、必ず口の中は見ていると思います。そんな中で、「これって正常なの?異常なの?」って思うことはありませんか。私たちは毎日のように多くの方の口の中を見ているので、いろんな変化に気づき、異常か異常でないかを判断します。
そこで今回は、口の中に起る変化の中で、実は疾患ではない変化を挙げていこうと思います。「えっ、これは異常じゃないの?」と思うものもあるかもしれません。
1.咬耗(こうもう)
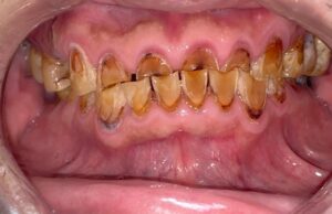
すごくわかりやすく言うと、外力などで歯がすり減ったり、削れていったりする状態です。年齢とともに、多くの人が多少の変形は起こすのですが、かなり病的に削れてしまっている方もいます。また、1、2本だけ削れている方もいれば数本単位、さらには残っているは全部が削れてしまっている方もいます。図1は上顎左から3本目の犬歯(糸切り歯)の先端が直線になっているのがわかると思います。図2は長年にわたる咬耗が極度に進行し、見えているは全ての歯が極度に削れており、上の前歯などは原形をとどめていません。もちろんここまでくると正常ではありませんが、むし歯ではありません。 咬耗は長年にわたる歯ぎしり、くいしばりが主な原因です。多くの場合は痛みなどの症状はありません。ご本人の希望などで形態修正をすることもありますが、多くの場合で困難です。人間の体で最も硬い組織の歯の表面が削れるだけの力が加わりますから、それに抵抗するものを作らなければならないからです。 
図1 左上の糸切り歯が削れている

図2 長年の歯ぎしり、食いしばりによって多くの歯が極度に削れている
2.くさび状欠損
いわゆるむし歯ではありません。こちらも歯ぎしりなどの外力が原因になります。多少くぼんでいるといったものから、本当にくっきりえぐれているものまであります。形は、木を倒すときに斧で叩いていったような形になります。ケースによって治療が必要かどうか分かれます。かなり深くなっても無症状な人もいますし、そんなに深くなくてもしみたり、痛みが出る方もいます。症状が出た時の処置としてはしみを抑える薬をつけたり、くぼみをプラスチックで埋めたりします。また、歯ぎしりなどの対応策としてマウスピースを寝るときに装着するケースもあります。 
図3 全体的にくさび状欠損があり、一部プラスチックで修復してある
3.骨隆起
一般の方が見つけるとかなり驚かれますが、これも病気ではありません。実際に、訪問看護師さんから「がんが大きくなっています!」と言われて見に行くと骨隆起だったということがありました。顎の骨が隆起してしまい、形態変化を起こしたものです。これも歯ぎしりなどが原因で骨が増殖したものです。歯に大きな力が加わると、それを支えている顎の骨にも負荷がかかります。同じところが慢性的に大きな力が加わると骨が過剰に発達すると考えられています。骨折の自己防衛という意味もありそうです。判別基準は、触ると硬いことです(骨の出っ張りなので)。好発部位は下顎の内側、上あごの天井(口蓋)などです。 多くの場合は痛みもなく、処置をすることはありません。ただ、問題になることがあります。入れ歯を使用するときです。骨が出っ張っているところは、入れ歯使用時に痛みが出る場所になります。そこを避けて入れ歯を作りますが、全体的に骨隆起ができており、総入れ歯などを作る際、どうしても避けられない時もあります。 
図4 上顎。左奥内側に生じた骨隆起

図5 上下額とも全体的に外側に生じた骨隆起
今回は極端な例の写真も出しましたが、その始まりは本当に少し変化をする程度なので分かりにくいこともあります。心配だったら歯科医師や歯科衛生士に聞いてみてください。 次回は、高齢者に多い残根とその原因についてお話します。
歯科医師 五島朋幸
Contents
- Introduction
- 第1回「ボーっと食べてんじゃねーよ!」
- 第2回「噛めば噛むほど」
- 第3回「噛むことと認知症予防」
- 第4回「美味しさの正体」
- 第5回「飲み込みと姿勢」
- 第6回「飲み込みの動き」
- 第7回「飲み込みが悪くなったときにできること」
- 第8回「口から食べるための訓練」
- 第9回「食事の工夫」
- 第10回「舌の役割」
- 第11回「入れ歯の話①」
- 第12回「唾液の話」
- 第13回「口腔ケアのその前に」
- 第14回「口腔ケアの意義と効果」
- 第15回「誤嚥性肺炎予防」
- 第16回「口腔ケアの効果②」
- 第17回「口腔ケアグッズ」
- 第18回「口腔ケアの実際」
- 第19回「口腔ケアが困難な事例」
- 第20回「入れ歯の口腔ケア」
- 第21回「認知症と口腔ケア」
- 第22回「認知症と口腔ケア(実践編)」
- 第23回「認知症と入れ歯」
- 第24回「食べることと薬」
- 第25回「入れ歯の話②」
- 第26回「入れ歯と誤嚥性肺炎」
- 第27回「口腔内の変化」
- 第28回「残根の話」
- 第29回「口腔ケアグッズ②」
- 第30回「口腔ケアグッズ③」
- 第31回「ブラッシング法」
- 第32回「機能的口腔ケア(唾液腺マッサージ・嚥下体操など)」
- 第33回「食事介助」
- 第34回「SSK-O(食べる機能と食事の形態)判定表」
- 第35回「食事動作」
- 第36回「食支援とは」
- 第37回「食べることとリスクマネジメントの話」
- 第38回「食支援とそのプロフェッショナル」
- 第39回「多職種の食支援」
- 第40回「サルコペニア」
- 第41回「食事と環境と姿勢」
- 第42回「食べる機能の評価」
- 第43回「噛むことの評価」
- 第44回「飲み込みの評価」
- 第45回「食べることと薬の関係」
- 第46回「口と腸の関係」
- 第47回「歯磨剤の話」
- 第48回「口腔乾燥と保湿剤」



